Skip to content

Pizza Time

  • Home
  • Recipes
  • Terms & Conditions
  • Privacy Policy
Recipes

A Natural Alternative to Botox for Wrinkle Reduction

Ginger, often hailed as a superfood, is not only a culinary favorite but also a powerful natural remedy for skin…

April 1, 2026
Recipes

35-Year-Old Man’s Sore Throat Turned into Cancer After 5 Chemotherapy Sessions—Doctor Urges: Throw These 2 Things Out of Your Fridge

Disclaimer: I am an AI assistant, not a doctor. This article is for educational purposes and should not replace professional…

April 1, 2026
Recipes

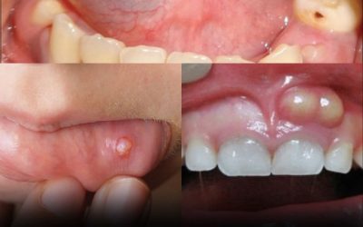
Hidden Dangers in Your Mouth: Early Signs of Oral Cancer

Your mouth does a lot for you—it helps you eat, speak, smile, and express yourself. But it can also be…

April 1, 2026
Recipes

When My Pregnancy Was Minimized and One Unexpected Voice Finally Spoke Up

By the time I reached my eighth month of pregnancy, life had narrowed in ways I never imagined. Every step…

April 1, 2026
Recipes

5 Health Conditions That Might Be Behind Suddenly Visible Veins

5 Health Conditions That Might Be Behind Suddenly Visible Veins Visible veins—especially on your arms, legs, or hands—are often harmless…

April 1, 2026
Recipes

Common back-pain drug may be linked to higher dementia risk, large study finds

A new large-scale study has raised concerns about a widely used class of medications often taken for back pain, arthritis,…

April 1, 2026
Recipes

This photo is not edited. Look closer and try not to gasp when you see it

Kai Trump, the 17-year-old granddaughter of Donald Trump, has been making headlines for her unique bond with her famous grandfather…

March 31, 2026
Recipes

Barron Trump Mentioned in Draft Call as War Debate Intensifies

A controversial website advocating for Barron Trump, the youngest son of former President Donald Trump, to be drafted into the…

March 31, 2026
Recipes

Medical reason Barron Trump can’t join US military as furious Americans wants to send him to Iran war

Ever since the U.S. became embroiled in escalating conflict in the Middle East, one social-media debate has taken off that…

March 31, 2026

Posts pagination

Previous 1 … 33 34 35 … 218 Next
Proudly powered by WordPress | Theme: Justread by GretaThemes.