Skip to content

Pizza Time

  • Home
  • Recipes
  • Terms & Conditions
  • Privacy Policy
Recipes

35-Year-Old Man’s Sore Throat Turned into Cancer After 5 Chemotherapy Sessions—Doctor Urges: Throw These 2 Things Out of Your Fridge

Disclaimer: I am an AI assistant, not a doctor. This article is for educational purposes and should not replace professional…

March 25, 2026
Recipes

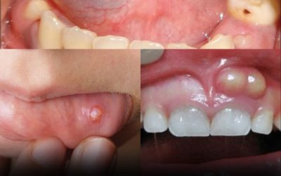
Hidden Dangers in Your Mouth: Early Signs of Oral Cancer

Your mouth does a lot for you—it helps you eat, speak, smile, and express yourself. But it can also be…

March 25, 2026
Recipes

When My Pregnancy Was Minimized and One Unexpected Voice Finally Spoke Up

By the time I reached my eighth month of pregnancy, life had narrowed in ways I never imagined. Every step…

March 25, 2026
Recipes

Hidden Parasites in Everyday Foods: What You Don’t See Can Hurt You”

But what if something invisible was already lurking inside? Something too small to see, yet powerful enough to compromise your…

March 25, 2026
Recipes

This One Superfood Could Tackle Major Health Issues—Here’s What You Need To Know

Magnesium is not a “superfood”—it’s something far more fundamental. As an essential mineral involved in over 300 enzymatic reactions, it…

March 25, 2026
Recipes

How Often Should You Wash Your Hair? A Dermatologist’s Guide to Clean, Healthy Hair

You’ve probably heard conflicting advice: “Wash your hair every day!” “Never wash more than twice a week!”

March 25, 2026
Recipes

The Secret Language of Sleep: What Your Drooling Brain Is Really Telling You

You wake to the familiar sensation—a damp patch on the pillow, a faint trail at the corner of your mouth.…

March 25, 2026
Recipes

If you drool while sleeping often, check for these 6 diseases

Waking up to a damp pillow from drooling while sleeping can feel embarrassing and leave you wondering why this keeps…

March 25, 2026
Recipes

If you drool while sleeping often, check for these 6 diseases

Waking up to a damp pillow from drooling while sleeping can feel embarrassing and leave you wondering why this keeps…

March 25, 2026

Posts pagination

Previous 1 … 71 72 73 … 218 Next
Proudly powered by WordPress | Theme: Justread by GretaThemes.