Skip to content

Pizza Time

  • Home
  • Recipes
  • Terms & Conditions
  • Privacy Policy
Recipes

Sour Cream Blueberry Coffee Cake!!!!

The inspiration for this recipe came from a blueberry sour cream coffee cake I had saved on my phone, which…

March 30, 2026
Recipes

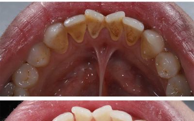
7 top hacks to get rid of unsightly tartar stains with almost 0 work

Tartar, also known as dental calculus, is a hardened form of dental plaque that can form on your teeth and…

March 30, 2026
Recipes

woke up to this red circle on my daughter’s arm. it’s spreading fast and she’s crying from the itch. any advice?

Waking up to find an unusual rash on your child’s skin can be a cause for concern, especially when it’s…

March 30, 2026
Recipes

Ancient Prophecy Claims New Pope Could Be the Last – With Ominous Warning for Humanity

Ancient Prophecy Claims New Pope Could Be the Last – With Ominous Warning for Humanity As Catholics worldwide rejoice in…

March 30, 2026
Recipes

Ease Leg Pain and Joint Stiffness Naturally with Garlic and Cloves

Leg pain, joint stiffness, or varicose veins can transform everyday tasks into exhausting challenges. Whether you’re suffering from tired, heavy…

March 30, 2026
Recipes

Popes one word message to the United States goes viral

He’s only just taken the throne of Saint Peter, but Pope Leo XIV is wasting no time making waves —…

March 30, 2026
Recipes

The Hidden Reasons You Keep Getting Pimples on Your Chin

For many people, acne seems like a problem best left in the teenage years. Yet for countless adults—especially those over…

March 30, 2026
Recipes

If You Have These Two Holes in Your Back, It Means You Don’t… Need to Worry! (The Truth About “Venus Dimples”)

“If you have these two holes in your lower back, it means you don’t…” (Cue frantic Googling, panic, and 10,000…

March 30, 2026
Recipes

SOTD – These are the consequences of sleeping with the!

In today’s fast-paced world, sleep is often treated as a passive void—a pause in productivity rather than an active process.…

March 30, 2026

Posts pagination

Previous 1 … 38 39 40 … 218 Next
Proudly powered by WordPress | Theme: Justread by GretaThemes.